Specjaliści z II Zakładu Radiologii Klinicznej UCK WUM, kierowanego przez prof. Olgierda Rowińskiego, przy współpracy z zespołami Kliniki Chirurgii Ogólnej, Endokrynologicznej i Chorób Naczyń UCK WUM, pod kierownictwem prof. Zbigniewa Gałązki oraz II Kliniki Anestezjologii i Intensywnej Terapii UCK WUM, kierowanej dr hab. Pawła Andruszkiewicza wykonali pierwszy na świecie zabieg laserowej fenestracji in-situ stentgraftu do łuku aorty off the shelf.
Operację przeprowadził zespół w składzie: dr n. med. Rafał Maciąg (specjalista radiologii i diagnostyki obrazowej), dr Vadym Matsibora (specjalista radiologii i diagnostyki obrazowej), dr Michał Sajdek (lekarz rezydent w trakcie specjalizacji z radiologii i diagnostyki obrazowej), dr n. med. Tadeusz Bering (specjalista anestezjologii i intensywnej terapii), Łukasz Karwański (technik elektroradiologii), Iwona Turek (instrumentariuszka), Barbara Struś (pielęgniarka anestezjologiczna).
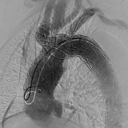
Przeprowadzony 27 lipca 2021 r. zabieg wykonano u 71-letniej pacjentki z rozwarstwieniem łuku aorty i tętniakowatym poszerzeniem kanału fałszywego, po przebytej operacji wymiany aorty wstępującej w 2011 r. z powodu ostrego rozwarstwienia aorty typu A. Chora nie została zakwalifikowana do ponownej operacji otwartej z użyciem krążenia pozaustrojowego (ang. extracorporeal circulation – ECC).
Całą procedurę implantacji stentgraftów i fenestracji poprzedzono wykonaniem angiograficznej próby okluzyjnej, oceniającej wydolność koła tętniczego mózgu przy czasowo zamkniętej lewej tętnicy szyjnej wspólnej. Ponadto, do monitoringu przepływów domózgowych wykorzystano ciągły, przezczaszkowy pomiar oksymetrii półkul mózgu (NIRS).
Przy użyciu lasera eksimerowego z przezskórnych dostępów naczyniowych (nakłucie igłą) przez lewą tętnicę szyjną wspólną oraz lewą tętnicę podobojczykową wykonano fenestrację poszycia implantowanego jednoczasowo stentgraftu, a następnie przez powstałe otwory, przy użyciu stentów krytych zaopatrzono powyższe naczynia, uzyskując przepływ przez wszystkie gałęzie łuku aorty.
Zabieg wykonano w całości przezskórnie, a implantacja systemu przebiegała z wykorzystaniem techniki szybkiej stymulacji komorowej (ang. rapid ventricular pacing).
Operacja odbyła się bez powikłań. Zarówno kontrolna arteriografia, jak i angio-TK po zabiegu wykazały wyłączenie z układu krążenia rozwarstwienia w obrębie łuku aorty oraz prawidłowy przepływ krwi w tętnicach domózgowych.
Pionierska operacja stwarza możliwość w pełni wewnątrznaczyniowego, jednoetapowego zaopatrywania rozwarstwień i tętniaków łuku aorty, a jej małoinwazyjność oraz brak konieczności wykorzystania krążenia pozaustrojowego niewątpliwie dają szansę na skrócenie czasu hospitalizacji i okresu rehabilitacji pooperacyjnej.
Należy również podkreślić, że szybka dostępność stentgraftu off the shelf, w porównaniu do systemów fenestrowanych lub systemów z odgałęzieniami typ „custom-made”, których produkcja trwa nawet kilka tygodni, umożliwia wykonywanie zabiegów w trybie pilnym.
Źródło: WUM




