Wczoraj, 2 grudnia 2020 w II Zakładzie Radiologii Centralnego Szpitala Klinicznego Uniwersyteckiego Centrum Klinicznego Warszawskiego Uniwersytetu Medycznego, pod kontrolą tomografii komputerowej wykonano pierwszy w Polsce zabieg przezskórnej krioablacji raka nerki.

Dzięki nawigacji tomografii komputerowej wprowadzono igły do wnętrza guza, a następnie ich końcówki zostały schłodzone do temperatury -20 °C. Tak niska temperatura zniszczyła guz i niewielki margines tkanek wokół niego bez konieczności wykonywania operacji. Pacjent został skierowany na ablację ze względu na obciążenia ogólne, które czyniły operację zbyt ryzykowną. Zabieg trwał około 3 godzin i był zdalnie nadzorowany przez dr Patricka Knüsela, radiologa interwencyjnego ze Szwajcarii. Dr Knüsel miał stały podgląd obrazów tomografii, USG, aparatu do ablacji oraz pola operacyjnego. Zdalny nadzór nad zabiegiem pozwolił uniknąć ryzyka, z którym wiążą się podróże w czasie pandemii.

Skuteczność przezskórnej krioablacji raka nerki jest zbliżona do operacji (około 95%), a powikłania są bardzo rzadkie przy prawej zerowej śmiertelności. Niestety obecnie najprawdopodobniej w żadnym polskim szpitalu nie wykonuje się takich zabiegów. Ze względu na znaczną przewagę tomografii komputerowej nad USG w krioablacji, zabiegi takie są wymagające sprzętowo.

Zabieg wykonywali radiolodzy interwencyjni Grzegorz Rosiak, Dariusz Konecki i Krzysztof Milczarek oraz zespół anestezjologiczny kierowany przez dr Alicję  Kwiatkowską.

W szpitalu pacjent jest pod opieką chirurgów z Kliniki Chirurgii Ogólnej, Endokrynologicznej i Chorób Naczyń CSK UCK WUM kierowanej przez prof. Zbigniewa Gałązkę, a na stałe jest prowadzony przez dr Roberta Nowakowskiego z Kliniki Nowotworów Układu Moczowego Narodowego Instytutu Onkologii w Warszawie kierowanej przez prof. Tomasza Demkowa.

Radiologia interwencyjna to dziedzina zajmująca się zabiegami małoinwazyjnymi wykonywanymi pod kontrolą badań obrazowych takich jak USG, tomografia komputerowa czy fluoroskopia rentgenowska. Dzięki takim zabiegom można leczyć wiele typów nowotworów u pacjentów, którzy nie mogą być poddani operacji. Na świecie radiologia interwencyjna jest jednym z czterech podstawowych filarów leczenia onkologicznego obok chirurgii, chemioterapii i radioterapii. W Polsce jest to dziedzina mało rozwinięta i nasze działania mają na celu rozpowszechnienie tych metod leczenia.

W okresie pandemii, kiedy mamy do czynienia z niedoborem łóżek i personelu, krótszy pobyt pacjenta w szpitalu (zwykle wychodzi na drugi dzień po zabiegu) jest szczególnie istotny.

Legenda:
blizna_po_krio.jpg – te trzy punkty (< 1mm) to jedyne widoczne na skórze ślady po krioablacji;
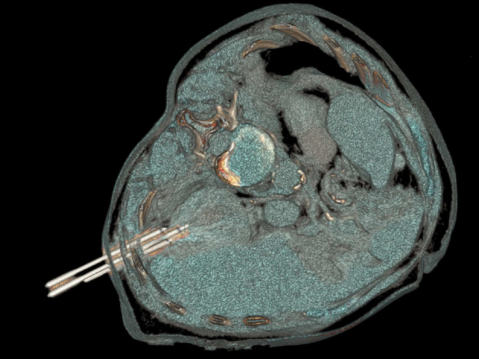
zielony_igly.jpg – trzy igły wbite w guz, obrazy tomograficzne;
radiolodzy_interwencyjni.jpg – od lewej Dariusz Konecki, Grzegorz Rosiak i Krzysztof Milczarek;
nadzor_szwajcaria.jpg – dr Knüsel, radiolog interwencyjny ze Szwajcarii, specjalista od krioablacji nadzoruje przebieg zabiegu krioablacji guza nerki;
kula_lodowa.jpg – na końcu igły widoczna jest kula lodu, która niszczy guz poprzez jego zamrożenie;
krioablacja_raka_nerki_przed_i_po.jpg – po stronie lewej widoczny jest guz, a po prawej – martwica w miejscu po zniszczonym guzie;
krioablacja_nerki.jpg – podczas zabiegu – nakłuwanie guza;
igly_w_guzie.jpg – Guz nakłuty trzema igłami pod kontrolą tomografii komputerowe

autor zdjęć: Rafał Śledziński / Boston Scientific Polska