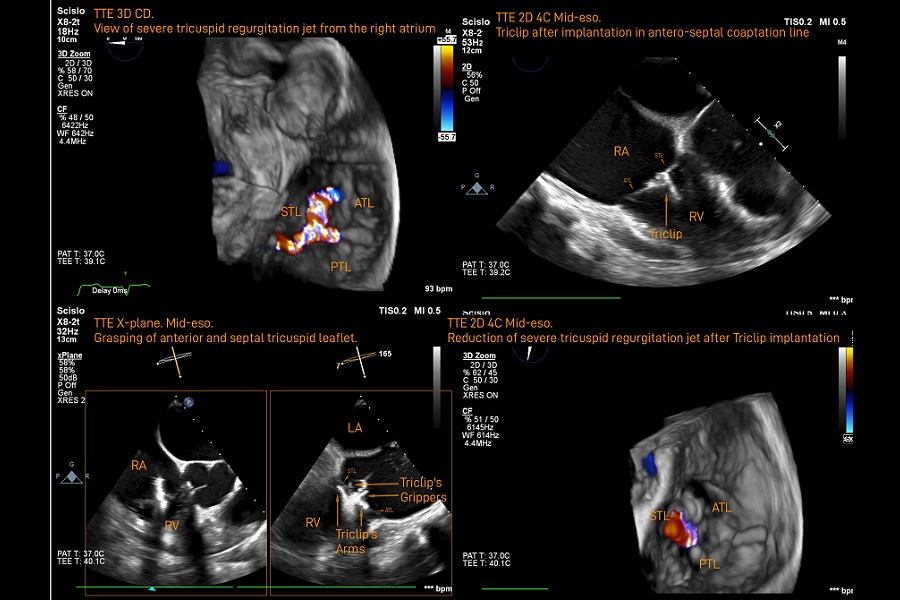
W dniu 28 kwietnia 2021 wykonano pierwszą w Polsce przezcewnikową naprawę izolowanej niedomykalności trójdzielnej metodą brzeg-do-brzegu za pomocą dedykowanego systemu Triclip (Abbott). Zabieg przeprowadził zespół w składzie operatorzy: dr n. med. Adam Rdzanek, dr n. med. Arkadiusz Pietrasik, echo-nawigatorzy dr n. med. Piotr Scisło, dr hab. n. med. Agnieszka Kapłon-Cieślicka, anestezjolog dr Dorota Komorowska, piel. Renata Makowska, piel. Grażyna Drozdowska przy pomocy proktorów Paolo Romitelli’ego, Tanami Nechemya i Daniela Marciniaka (Abbott), opieka kliniczna nad chorym tech. Sławomir Dziewulski i dr n. med. Ewa Pędzich-Placha.
Zabieg został wykonany w Oddziale Klinicznym Kardiologii Inwazyjnej (Kierownik: prof. dr hab. n. med. Janusz Kochman) Kliniki Kardiologii (Kierownik: prof. dr hab. n. med. Grzegorz Opolski).
Zabiegi korekcji niedomykalności trójdzielnej wykonywane są w Klinice od 2018 roku, jednak dotychczas mogły być one przeprowadzane jedynie w czasie zabiegu na zastawce mitralnej.
Opracował:
Piotr Scisło


