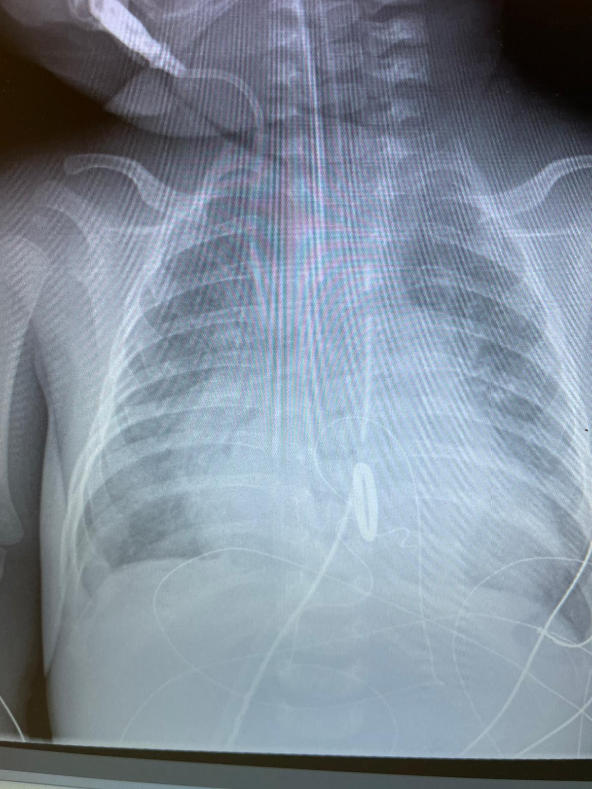
W dniu 31.03. 2021 dr n med. Michał Buczyński z Kliniki Kardiochirurgii i Chirurgii Ogólnej Dzieci UCK WUM, kierowanej przez prof. dr hab. med. Macieja Karolczaka przeprowadził operację wszczepienia w pozycję mitralną najmniejszej mechanicznej zastawki serca u 2-miesięcznego dziecka.
Niemowlę urodziło się z wrodzoną wadą serca pod postacią wspólnego kanału przedsionkowo-komorowego oraz z nieprawidłowym aparatem podzastawkowym (postać spadochronowa). Pacjenta poddano złożonej korekcji wewnątrzsercowej, która ze względu na nasilone zaburzenia morfologii zastawek nie przyniosła oczekiwanego efektu funkcjonalnego. W kolejnych dobach pooperacyjnych dziecko rozwinęło ciężką niewydolność serca i zostało zakwalifikowane do operacji wszczepienia mechanicznej zastawki serca, ze wskazań życiowych.
Użyto najmniejszej, dostępnej od niedawna, zastawki Abott’s Masters (St. Jude) HP 15 mm specjalnie sprowadzonej na potrzeby operacji. W dniu zabiegu dziecko ważyło 3,8 kg. Operacje wymiany zastawki mitralnej u pacjentów poniżej 1 roku życia należą do niezwykłej rzadkości, a w przypadku masy pacjenta poniżej 4 kg można śmiało mówić o wydarzeniu.
Operacja przebiegła bez powikłań, a funkcja serca z każdym dniem ulegała poprawie. Od kilku dni niemowlę przebywa już w Klinice Kardiochirurgii i Chirurgii Dziecięcej DSK UCK WUM, w stanie ogólnym dobrym, na oddechu własnym.
W procesie diagnostycznym i terapeutycznym brali udział: dr Michał Buczyński, dr Michał Zawadzki, Paulina Kopacz, dr Wojciech Mądry i dr Jacek Kuźma – z Kliniki Kardiochirurgii, dr Monika Sobieraj – anestezjolog oraz zespół pielęgniarek i perfuzji bloku operacyjnego Dziecięcego Szpitala Klinicznego.
Autor tekstu: Paulina Kopacz/ Maciej Karolczak
Foto: Michał Buczyński







